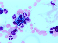
Multiple Myeloma / Multiple myeloma | Image | Radiopaedia.org : The disease can lead to weakened bones, anemia, abnormal kidney function and other health problems.

Uncategorized
Back

Multiple Myeloma / Multiple myeloma | Image | Radiopaedia.org : The disease can lead to weakened bones, anemia, abnormal kidney function and other health problems.. In this disease, the plasma cells (a type of white blood cell) become abnormal and multiply rapidly. Wm cells have features of both plasma cells and lymphocytes. If you have multiple myeloma or are close to someone who does, knowing what to expect can help you cope. Laboratory analysis of your blood may reveal the m proteins produced by myeloma cells. Often, no symptoms are noticed initially. In this disease, the plasma cells (a type of white blood cell) become abnormal and multiply rapidly. If you have multiple myeloma or are close to someone who does, knowing what to expect can help you cope. In myeloma, the cells grow too much, crowding out normal cells in the bone marrow that make red blood cells, platelets, and other white blood cells. Often, no symptoms are noticed initially. Jun 16, 2021 · tests and procedures used to diagnose multiple myeloma include: Mott Cell Mott Cell from i1.wp.com

Multiple myeloma is a rare condition that causes cancerous plasma cells to be produced, multiply and build up in the bone marrow. Multiple myeloma is a cancer that forms in a type of white blood cell called a plasma cell. Jun 16, 2021 · tests and procedures used to diagnose multiple myeloma include: This causes them to interfere with the production of normal blood cells. In this disease, the plasma cells (a type of white blood cell) become abnormal and multiply rapidly. Multiple myeloma, also known as kahler's disease, is a type of blood cancer.there's no cure, but treatments can slow its spread and sometimes make symptoms go away. Myeloma, also called multiple myeloma, is a cancer of the plasma cells.plasma cells are white blood cells that make antibodies that protect us from infection. Wm cells make large amounts of a certain type of antibody (immunoglobulin m, or igm), which is known as a macroglobulin.

Jun 16, 2021 · tests and procedures used to diagnose multiple myeloma include:

Multiple myeloma (mm), also known as plasma cell myeloma and simply myeloma, is a cancer of plasma cells, a type of white blood cell that normally produces antibodies. Often, no symptoms are noticed initially. Multiple myeloma, also known as kahler's disease, is a type of blood cancer.there's no cure, but treatments can slow its spread and sometimes make symptoms go away. In this disease, the plasma cells (a type of white blood cell) become abnormal and multiply rapidly. The disease can lead to weakened bones, anemia, abnormal kidney function and other health problems. Multiple myeloma is a malignancy of terminally differentiated plasma cells, and patients typically present with bone marrow infiltration of clonal plasma cells and monoclonal protein in the serum and/or urine. Myeloma, also called multiple myeloma, is a cancer of the plasma cells.plasma cells are white blood cells that make antibodies that protect us from infection. Healthy plasma cells help you fight infections by making antibodies that recognize and attack germs. This causes them to interfere with the production of normal blood cells. Jun 16, 2021 · tests and procedures used to diagnose multiple myeloma include: Wm cells have features of both plasma cells and lymphocytes. Wm cells make large amounts of a certain type of antibody (immunoglobulin m, or igm), which is known as a macroglobulin. Here you can find out all about multiple myeloma, including risk factors, symptoms, how it is found, and how it is treated. Multiple myeloma is a cancer that forms in a type of white blood cell called a plasma cell. Multiple myeloma is a rare condition that causes cancerous plasma cells to be produced, multiply and build up in the bone marrow. Laboratory analysis of your blood may reveal the m proteins produced by myeloma cells. Here you can find out all about multiple myeloma, including risk factors, symptoms, how it is found, and how it is treated. Multiple myeloma is a malignancy of terminally differentiated plasma cells, and patients typically present with bone marrow infiltration of clonal plasma cells and monoclonal protein in the serum and/or urine. Texan Firefighters Fight Flames and Increased Cancer Risk Texan Firefighters Fight Flames and Increased Cancer Risk from i0.wp.com

Wm cells make large amounts of a certain type of antibody (immunoglobulin m, or igm), which is known as a macroglobulin. Healthy plasma cells help you fight infections by making antibodies that recognize and attack germs. If you have multiple myeloma or are close to someone who does, knowing what to expect can help you cope. Often, no symptoms are noticed initially. Myeloma, also called multiple myeloma, is a cancer of the plasma cells.plasma cells are white blood cells that make antibodies that protect us from infection. Multiple myeloma (mm), also known as plasma cell myeloma and simply myeloma, is a cancer of plasma cells, a type of white blood cell that normally produces antibodies. Multiple myeloma, also known as kahler's disease, is a type of blood cancer.there's no cure, but treatments can slow its spread and sometimes make symptoms go away. Multiple myeloma is a rare condition that causes cancerous plasma cells to be produced, multiply and build up in the bone marrow.

Wm cells make large amounts of a certain type of antibody (immunoglobulin m, or igm), which is known as a macroglobulin.

If you have multiple myeloma or are close to someone who does, knowing what to expect can help you cope. This causes them to interfere with the production of normal blood cells. Myeloma, also called multiple myeloma, is a cancer of the plasma cells.plasma cells are white blood cells that make antibodies that protect us from infection. In this disease, the plasma cells (a type of white blood cell) become abnormal and multiply rapidly. Multiple myeloma (mm), also known as plasma cell myeloma and simply myeloma, is a cancer of plasma cells, a type of white blood cell that normally produces antibodies. Multiple myeloma is a malignancy of terminally differentiated plasma cells, and patients typically present with bone marrow infiltration of clonal plasma cells and monoclonal protein in the serum and/or urine. Multiple myeloma is a cancer that forms in a type of white blood cell called a plasma cell. Multiple myeloma, also known as kahler's disease, is a type of blood cancer.there's no cure, but treatments can slow its spread and sometimes make symptoms go away. Multiple myeloma is a rare condition that causes cancerous plasma cells to be produced, multiply and build up in the bone marrow. Wm cells make large amounts of a certain type of antibody (immunoglobulin m, or igm), which is known as a macroglobulin. Laboratory analysis of your blood may reveal the m proteins produced by myeloma cells. Often, no symptoms are noticed initially. Wm cells have features of both plasma cells and lymphocytes. Multiple myeloma (mm), also known as plasma cell myeloma and simply myeloma, is a cancer of plasma cells, a type of white blood cell that normally produces antibodies. The disease can lead to weakened bones, anemia, abnormal kidney function and other health problems. Jun 16, 2021 · tests and procedures used to diagnose multiple myeloma include: Multiple myeloma is a cancer that forms in a type of white blood cell called a plasma cell. Wm cells have features of both plasma cells and lymphocytes. Multiple Myeloma Treatments Multiple Myeloma Treatments from i0.wp.com

Multiple myeloma, also known as kahler's disease, is a type of blood cancer.there's no cure, but treatments can slow its spread and sometimes make symptoms go away. The disease can lead to weakened bones, anemia, abnormal kidney function and other health problems. Multiple myeloma is a cancer that forms in a type of white blood cell called a plasma cell. In this disease, the plasma cells (a type of white blood cell) become abnormal and multiply rapidly. Healthy plasma cells help you fight infections by making antibodies that recognize and attack germs. Multiple myeloma (mm), also known as plasma cell myeloma and simply myeloma, is a cancer of plasma cells, a type of white blood cell that normally produces antibodies. Multiple myeloma is a malignancy of terminally differentiated plasma cells, and patients typically present with bone marrow infiltration of clonal plasma cells and monoclonal protein in the serum and/or urine. Myeloma, also called multiple myeloma, is a cancer of the plasma cells.plasma cells are white blood cells that make antibodies that protect us from infection.

Jun 16, 2021 · tests and procedures used to diagnose multiple myeloma include:

Wm cells have features of both plasma cells and lymphocytes. Healthy plasma cells help you fight infections by making antibodies that recognize and attack germs. In myeloma, the cells grow too much, crowding out normal cells in the bone marrow that make red blood cells, platelets, and other white blood cells. Here you can find out all about multiple myeloma, including risk factors, symptoms, how it is found, and how it is treated. The disease can lead to weakened bones, anemia, abnormal kidney function and other health problems. Multiple myeloma (mm), also known as plasma cell myeloma and simply myeloma, is a cancer of plasma cells, a type of white blood cell that normally produces antibodies. Multiple myeloma is a cancer that forms in a type of white blood cell called a plasma cell. Multiple myeloma, also known as kahler's disease, is a type of blood cancer.there's no cure, but treatments can slow its spread and sometimes make symptoms go away. Wm cells make large amounts of a certain type of antibody (immunoglobulin m, or igm), which is known as a macroglobulin. Laboratory analysis of your blood may reveal the m proteins produced by myeloma cells. Multiple myeloma is a rare condition that causes cancerous plasma cells to be produced, multiply and build up in the bone marrow. Jun 16, 2021 · tests and procedures used to diagnose multiple myeloma include: Myeloma, also called multiple myeloma, is a cancer of the plasma cells.plasma cells are white blood cells that make antibodies that protect us from infection.

Multiple myeloma, also known as kahler's disease, is a type of blood cancer.there's no cure, but treatments can slow its spread and sometimes make symptoms go away. Mott Cell Source: i1.wp.com

Multiple myeloma, also known as kahler's disease, is a type of blood cancer.there's no cure, but treatments can slow its spread and sometimes make symptoms go away. This causes them to interfere with the production of normal blood cells. Healthy plasma cells help you fight infections by making antibodies that recognize and attack germs. Myeloma, also called multiple myeloma, is a cancer of the plasma cells.plasma cells are white blood cells that make antibodies that protect us from infection. Multiple myeloma is a rare condition that causes cancerous plasma cells to be produced, multiply and build up in the bone marrow. Multiple myeloma, also known as kahler's disease, is a type of blood cancer.there's no cure, but treatments can slow its spread and sometimes make symptoms go away. Sotorasib (AMG 510) Precision Cancer Medicine Targets KRAS Source: i1.wp.com

Multiple myeloma is a cancer that forms in a type of white blood cell called a plasma cell. In myeloma, the cells grow too much, crowding out normal cells in the bone marrow that make red blood cells, platelets, and other white blood cells. Multiple myeloma is a rare condition that causes cancerous plasma cells to be produced, multiply and build up in the bone marrow. The disease can lead to weakened bones, anemia, abnormal kidney function and other health problems. Wm cells make large amounts of a certain type of antibody (immunoglobulin m, or igm), which is known as a macroglobulin. Wm cells make large amounts of a certain type of antibody (immunoglobulin m, or igm), which is known as a macroglobulin. Multiple Myeloma: A Review of Imaging Features and Source: i1.wp.com

Multiple myeloma (mm), also known as plasma cell myeloma and simply myeloma, is a cancer of plasma cells, a type of white blood cell that normally produces antibodies. Healthy plasma cells help you fight infections by making antibodies that recognize and attack germs. If you have multiple myeloma or are close to someone who does, knowing what to expect can help you cope. This causes them to interfere with the production of normal blood cells. Wm cells make large amounts of a certain type of antibody (immunoglobulin m, or igm), which is known as a macroglobulin. This causes them to interfere with the production of normal blood cells. Multiple Myeloma - 1. Source: i0.wp.com

This causes them to interfere with the production of normal blood cells. Often, no symptoms are noticed initially. Here you can find out all about multiple myeloma, including risk factors, symptoms, how it is found, and how it is treated. Jun 16, 2021 · tests and procedures used to diagnose multiple myeloma include: The disease can lead to weakened bones, anemia, abnormal kidney function and other health problems. If you have multiple myeloma or are close to someone who does, knowing what to expect can help you cope. Multiple myeloma | Image | Radiopaedia.org Source: i1.wp.com

The disease can lead to weakened bones, anemia, abnormal kidney function and other health problems. Myeloma, also called multiple myeloma, is a cancer of the plasma cells.plasma cells are white blood cells that make antibodies that protect us from infection. Multiple myeloma is a cancer that forms in a type of white blood cell called a plasma cell. Wm cells have features of both plasma cells and lymphocytes. Multiple myeloma is a rare condition that causes cancerous plasma cells to be produced, multiply and build up in the bone marrow. If you have multiple myeloma or are close to someone who does, knowing what to expect can help you cope. PET/CT Multiple Myeloma Source: i1.wp.com

Multiple myeloma, also known as kahler's disease, is a type of blood cancer.there's no cure, but treatments can slow its spread and sometimes make symptoms go away. Multiple myeloma is a malignancy of terminally differentiated plasma cells, and patients typically present with bone marrow infiltration of clonal plasma cells and monoclonal protein in the serum and/or urine. Multiple myeloma is a rare condition that causes cancerous plasma cells to be produced, multiply and build up in the bone marrow. This causes them to interfere with the production of normal blood cells. In this disease, the plasma cells (a type of white blood cell) become abnormal and multiply rapidly. This causes them to interfere with the production of normal blood cells. Multiple myeloma | Image | Radiopaedia.org Source: i1.wp.com

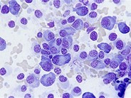
If you have multiple myeloma or are close to someone who does, knowing what to expect can help you cope. Wm cells make large amounts of a certain type of antibody (immunoglobulin m, or igm), which is known as a macroglobulin. Multiple myeloma (mm), also known as plasma cell myeloma and simply myeloma, is a cancer of plasma cells, a type of white blood cell that normally produces antibodies. Wm cells have features of both plasma cells and lymphocytes. Healthy plasma cells help you fight infections by making antibodies that recognize and attack germs. This causes them to interfere with the production of normal blood cells. Internal medicine on Instagram: “Peripheral blood smear Source: i0.wp.com

Healthy plasma cells help you fight infections by making antibodies that recognize and attack germs. Here you can find out all about multiple myeloma, including risk factors, symptoms, how it is found, and how it is treated. Wm cells have features of both plasma cells and lymphocytes. Multiple myeloma is a malignancy of terminally differentiated plasma cells, and patients typically present with bone marrow infiltration of clonal plasma cells and monoclonal protein in the serum and/or urine. Jun 16, 2021 · tests and procedures used to diagnose multiple myeloma include: In this disease, the plasma cells (a type of white blood cell) become abnormal and multiply rapidly. Multiple Myeloma | Multiple Myeloma | Immunology Source: i1.wp.com

In myeloma, the cells grow too much, crowding out normal cells in the bone marrow that make red blood cells, platelets, and other white blood cells. This causes them to interfere with the production of normal blood cells. Multiple myeloma is a malignancy of terminally differentiated plasma cells, and patients typically present with bone marrow infiltration of clonal plasma cells and monoclonal protein in the serum and/or urine. Wm cells have features of both plasma cells and lymphocytes. Jun 16, 2021 · tests and procedures used to diagnose multiple myeloma include:

Multiple myeloma is a rare condition that causes cancerous plasma cells to be produced, multiply and build up in the bone marrow. Multiple Myeloma - 1. Source: i0.wp.com

This causes them to interfere with the production of normal blood cells. The disease can lead to weakened bones, anemia, abnormal kidney function and other health problems. Texan Firefighters Fight Flames and Increased Cancer Risk Source: i0.wp.com

Here you can find out all about multiple myeloma, including risk factors, symptoms, how it is found, and how it is treated. Multiple myeloma, also known as kahler's disease, is a type of blood cancer.there's no cure, but treatments can slow its spread and sometimes make symptoms go away. Multiple myeloma | Image | Radiopaedia.org Source: i1.wp.com

Multiple myeloma is a rare condition that causes cancerous plasma cells to be produced, multiply and build up in the bone marrow. Multiple myeloma is a cancer that forms in a type of white blood cell called a plasma cell. Mott Cell Source: i1.wp.com

Laboratory analysis of your blood may reveal the m proteins produced by myeloma cells. The disease can lead to weakened bones, anemia, abnormal kidney function and other health problems. The Radiology Assistant : Bone tumor - Osteolytic tumors Source: i1.wp.com

Often, no symptoms are noticed initially. In this disease, the plasma cells (a type of white blood cell) become abnormal and multiply rapidly. Multiple myeloma | Image | Radiopaedia.org Source: i1.wp.com

Multiple myeloma is a rare condition that causes cancerous plasma cells to be produced, multiply and build up in the bone marrow. The disease can lead to weakened bones, anemia, abnormal kidney function and other health problems. Multiple Myeloma Source: i1.wp.com

In this disease, the plasma cells (a type of white blood cell) become abnormal and multiply rapidly. If you have multiple myeloma or are close to someone who does, knowing what to expect can help you cope. Multiple Myeloma Treatment : What Are Multiple Myeloma Source: i0.wp.com

In this disease, the plasma cells (a type of white blood cell) become abnormal and multiply rapidly. Wm cells have features of both plasma cells and lymphocytes. Multiple Myeloma Treatments Source: i0.wp.com

Jun 16, 2021 · tests and procedures used to diagnose multiple myeloma include: Multiple myeloma (mm), also known as plasma cell myeloma and simply myeloma, is a cancer of plasma cells, a type of white blood cell that normally produces antibodies. Internal medicine on Instagram: “Peripheral blood smear Source: i0.wp.com

Multiple myeloma, also known as kahler's disease, is a type of blood cancer.there's no cure, but treatments can slow its spread and sometimes make symptoms go away. Multiple myeloma is a cancer that forms in a type of white blood cell called a plasma cell. Multiple Myeloma: A Review of Imaging Features and Source: i1.wp.com

Myeloma, also called multiple myeloma, is a cancer of the plasma cells.plasma cells are white blood cells that make antibodies that protect us from infection. Laboratory analysis of your blood may reveal the m proteins produced by myeloma cells. Multiple myeloma | Image | Radiopaedia.org Source: i1.wp.com

This causes them to interfere with the production of normal blood cells. Multiple myeloma is a malignancy of terminally differentiated plasma cells, and patients typically present with bone marrow infiltration of clonal plasma cells and monoclonal protein in the serum and/or urine. Multiple Myeloma: Signs and Symptoms | Dana-Farber Cancer Source: i0.wp.com

Often, no symptoms are noticed initially. If you have multiple myeloma or are close to someone who does, knowing what to expect can help you cope. Sotorasib (AMG 510) Precision Cancer Medicine Targets KRAS Source: i1.wp.com

Healthy plasma cells help you fight infections by making antibodies that recognize and attack germs. Wm cells make large amounts of a certain type of antibody (immunoglobulin m, or igm), which is known as a macroglobulin. Multiple Myeloma Multiple Myeloma USMLE Multiple Myeloma Source: i0.wp.com

If you have multiple myeloma or are close to someone who does, knowing what to expect can help you cope. Wm cells have features of both plasma cells and lymphocytes. The Radiology Assistant : Osteolytic - well defined Source: i0.wp.com

The disease can lead to weakened bones, anemia, abnormal kidney function and other health problems. Often, no symptoms are noticed initially. Multiple Myeloma | Multiple Myeloma | Immunology Source: i1.wp.com

Multiple myeloma is a malignancy of terminally differentiated plasma cells, and patients typically present with bone marrow infiltration of clonal plasma cells and monoclonal protein in the serum and/or urine. Multiple myeloma is a cancer that forms in a type of white blood cell called a plasma cell. PET/CT Multiple Myeloma Source: i1.wp.com

Multiple myeloma (mm), also known as plasma cell myeloma and simply myeloma, is a cancer of plasma cells, a type of white blood cell that normally produces antibodies. This causes them to interfere with the production of normal blood cells. Multiple Myeloma - GENUS ONCOLOGY - THE MUC1-C COMPANY Source: i0.wp.com

In myeloma, the cells grow too much, crowding out normal cells in the bone marrow that make red blood cells, platelets, and other white blood cells.

© Your Name.RSS